Liposuction is the most effective treatment for armpit fat, typically costing from SGD $4,000 onwards in Singapore, depending on the doctor’s experience, etc.
Table of Contents
Breast implants involve inserting a foreign object, while breast fat transfer uses liposuction to harvest fat from areas like the abdomen for injection into the breasts. Breast fat transfer may boost self-esteem and enhance body contour after weight loss or childbirth. Deciding between the two requires understanding personal goals, potential risks, and consulting an experienced doctor in Singapore.

Breast implants have served women since the first procedure was performed in 1962.
Many were likely leaning towards breast implants when television shows like Baywatch and magazine supermodels made "boob jobs" fashionable in the 1990s.
For a long time, methods to increase the appearance of one's breasts relied on breast or saline implants, which can come with risks.
Today, while breast implants continue to be popular, breast fat transfer is increasingly becoming a mainstream breast augmentation alternative.
"Some women wanted a bigger breast size, but the thought of a foreign object in their body and the unnatural and 'fake' appearance held them back – until fat grafting came along," shares Dr Ivan Puah, who was one of the first few doctors to introduce autologous fat grafting to Singapore in 2007.
Comparison Table Of Breast Fat Transfer & Breast Implants
| Treatments | Breast implants | Breast fat transfer |
|---|---|---|
| Cost | From SGD S$8,000 onwards | From SGD S$4,000 onwards |
| Results | Increase several cup sizes | Increase 1 to 1.5 cup size |
| Recovery | Full recovery = 4 - 6 weeks | Few days = Back to your regime |
| Possible risks and complications | Infection Rupture Capsular contracture (When the body forms scar tissue around the implant) Breast implant illness Breast implant-associated anaplastic large cell lymphoma | Infection Fat Necrosis Benign Calcifications ~ 30% of Fat reabsorption |
| Feel | Soft, squishy, taut & heavy like water balloons | Softer & natural |
| Scarring | Long scarring, either under the breast or through the armpits | Minimal scarring |
How Breast implants & Breast fat transfer Work
Breast implants


An incision, usually in the breast or armpit crease, or around the areola, is made for the implant to be inserted through.
The implant will then be placed either behind the pectoral muscle or between the breast tissue and muscle.
Breast Fat Transfer

Excess fat is acquired from the abdomen, tummy, or thighs via liposuction and then harvested to maintain the integrity of fat cells.
The purified fat will then be injected into the breasts.
Results Comparison between Breast Fat Transfer vs Breast Implants
| Treatments | Breast implants | Breast fat transfer |
|---|---|---|
| Texture | The doctor can either use textured or smooth implants. | The natural texture of fat tissue which is soft and smooth. |
| Sensation | If you are not naturally less endowed, your breasts may have an unnatural sensation. | Natural. |
| Placement | Your breast implants will either be placed over or under the chest muscles. | The fat graft will be injected around and below the breast tissue to sculpt, shape and enhance the breasts. |
| Look | Full | Natural and fuller breasts. |
Who Should Choose Which Procedure: Specific Candidate Profiles
| Breast implants | Breast fat transfer |
|---|---|
| Want a certain cup size | Want the result to look and feel natural |
| Don’t mind having implants in your body | Do not want a foreign object in your body |
| Understand the complications and risks | If you understand the limitations |
| Have the financial capability to replace implants every decade | The result is relatively stable; however multiple sessions may be needed if you desire more volume in future |
| Desire a significant size change | Want natural moderate breast enhancement |
| If you are seeking to enhance breast volume | If you are seeking to restore volume loss and lose fat in certain body parts at the same time |
| In good health physically and mentally | In good health, physically and mentally |
Long-Term Considerations: Maintenance, Replacement, Ageing & Risks Associated With Breast Implants
| Treatments | Breast Implants |
|---|---|
| Implant Rupture | ![]() Image source [1]: Variations of implant rupture. (A) Intact 1st generation implant with evidence of gel "bleed"; (B) ruptured second generation implant with free silicone leak; (C) intracapsular rupture of silicone implant in a patient who presented with a breast lump. The most common cause of breast implant rupture is iatrogenic damage, meaning the rupture is often caused by implant damage during placement [2], normal wear and tear and capsular contracture, which is the formation of scar tissue around the implant. Evaluation for implant rupture is primarily driven by patient symptoms, including a change in breast shape, size or firmness, capsular contracture, palpable lumps or breast pain [3]. |
| Implant Leakage | Silicone leakage, such as silicone sweating (gel bleed), has been associated with loco-regional effects such as histolytic necrotising lymphadenitis and with systemic disorders such as autoimmune and connective tissue diseases [4]. |
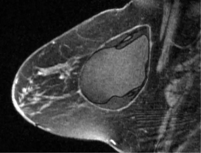
| Capsular Contraction | ![]() Image source [2]: Magnetic resonance imaging (MRI) of a second-generation implant with intra-capsular rupture, there is free silicone liquid within the capsule. Capsular contracture is where scar tissue thickens around the implants, resulting in implant hardening and distortion. |
| Hematoma | Hematomas, solid swellings of clotted blood within the tissues [5]. |
| Wound Infection | Wound infection has been rated as the third most common breast implant complication [5]. |
| Long Recovery | Women who have had breast implants frequently experience local complications during the subsequent five years [5]. |
| High Complication Rate | 23.8% had at least one local complication each after implantation, although complications were significantly less frequent after cosmetic implantation than after implantation following mastectomy for cancer or cancer prophylaxis [5]. |
| Breast Implant Illness (BII) | Symptoms of Breast Implant Illness include: • Lymphomas [6] • Sleep disturbances [7] • Morning stiffness that sometimes may last more than an hour [7] • Fibromyalgia [7] • Muscle weakness can be severe and may render the patient bedridden [7] • Dry eyes and dry mouth, which are typically severe [7] • Severe neurological manifestations [7] • Atopic symptoms, such as sneezing, a runny nose, itchy eyes, red eyes, nasal congestion and post-nasal drip [7] • Occurrence of hives and/or Quincke's edema [7] • Symmetric polyarthritis compatible with a diagnosis of rheumatoid arthritis [8 ,9] • Asthma, pulmonary nodules, interstitial lung disease, pulmonary silicone embolism [10] This has led to a rise in breast explant surgery. |
| Rippling | Stretch marks or 'rippling' on their breasts is a frequent complication following breast augmentation or implant-based reconstruction and results in significant patient dissatisfaction [11]. |
| Not a permanent solution | The rate of rupture increases over the life of the implant. Patients with breast implants need to change their implants every 10 to 15 years. |
| Change in breast size | Saline and silicone implants present some hallmarks that give them away, especially in later years, as the patient ages and their body changes. For example, breast implants look like symmetrical orbs, while natural breasts are pear-shaped and rarely the same shape and size. The positioning of implants on the chest is another giveaway. Implants also don't move like natural fat in the breast tissue and tend to be static. |
| NIpple shifting | Some women have also found that their nipples have somewhat moved away from the equator after the procedure. |
Due to the high risk of complications, patients need to undergo regular clinical examinations.
Follow-up after breast implants and the detection of complications by diagnostic methods is highly recommended.
The Emotional & Physical Benefits Of Breast fat transfer
Studies reveal that the emotional benefits of breast fat transfer include a boost in self-esteem, body image, and sexual satisfaction.
Meanwhile, physical benefits include fuller breasts, subtle breast firming dealing with breast changes that occur after weight loss or childbirth, and reconstruction, especially after the removal of the breasts due to breast cancer.
Questions to Ask Yourself Before Considering Breast Fat Transfer or Breast Implants
- What are my reasons for seeking breast enhancement?
- Am I seeking to improve body image, self-confidence, correct asymmetry, or enhance my body’s proportions?
- Am I fully informed about the differences between breast fat transfer and implants?
- What are the possible scarring, risks, and complications associated with each procedure?
- How will either of the surgeries impact my overall health?
- What are my results expectations?
- Am I able to follow instructions to ensure a smooth recovery?
- Who will perform the surgery, and are they qualified?
- What is my budget, and how will it affect my choice?
- How do these procedures impact future pregnancies or breastfeeding?
- What does my support network look like?
- Am I prepared for how I will feel after the procedure?
FAQ
What type of doctor should I look for for breast fat grafting?

You should seek a doctor, who is accredited by the Ministry of Health (MOH) Singapore, to perform liposuction procedures.
Since fat grafting involves harvesting fat via liposuction before transferring it to the breasts, the doctor must possess the surgical credentials and approvals to perform the procedure safely and effectively.
Does the doctor who does my fat grafting surgery have specialised training?

Medical doctors who have met the stringent criteria and obtained accreditation from the Ministry of Health, Singapore, to perform liposuction can perform fat grafting.
However, beyond accreditation, experience and an artistic eye matter greatly.
The aesthetic outcome depends on the doctor's skill in harvesting high-quality fat, carefully purifying it, and strategically reinjecting it to achieve natural, symmetrical results.
At Amaris B. Clinic, Dr Ivan Puah is an MOH-accredited liposuction doctor with over 20 years of experience performing liposuction and fat grafting in Singapore.
He received training in syringe liposculpture and fat grafting techniques under renowned French plastic surgeon Dr Pierre François Fournier, as well as liposuction and advanced body sculpting training in Italy, the United States, and Argentina.
How many sessions are needed for breast fat transfer?
For many patients, a single session of fat grafting can achieve the results they seek.
The surgery removes unwanted fat from areas such as the abdomen and uses it to enhance breast shape and volume.
However, the number of sessions required depends on your aesthetic goals, your body's available fat stores, and how much of the transferred fat establishes a lasting blood supply.
During your consultation and assessment, Dr Ivan Puah will evaluate these factors and provide realistic expectations for what can be achieved in one session, as well as whether a second session may be beneficial.
Why do my breasts become smaller when I lose weight?
This is a common and frustrating experience for many women.
Breasts are comprised of both glandular tissue and fat.
When you lose weight naturally via workout and diet, your body burns fat from everywhere, including the breasts.
Unfortunately, for many women, the breasts tend to hollow out first, leading to a disproportionate or haggard appearance.
This is precisely why autologous fat grafting can be a great option to restore volume precisely where you have lost it, using your own natural tissue, for a fuller, more rejuvenated contour.
ADR-C BREAST ENHANCEMENT (BREAST FAT GRAFTING)
A 2-in-1 body procedure for women looking to add volume to their chest while removing stubborn fat from the body. It offers a natural & safer alternative.
Reference
[1] Bellini E, Grieco MP, Raposio E. The science behind autologous fat grafting. Ann Med Surg (Lond). 2017 Nov 10;24:65-73. doi: 10.1016/j.amsu.2017.11.001. PMID: 29188051; PMCID: PMC5694962.
[2] Handel, Neal M.D.; Garcia, M. Emily Ph.D.; Wixtrom, Roger Ph.D.. Breast Implant Rupture: Causes, Incidence, Clinical Impact, and Management. Plastic and Reconstructive Surgery 132(5):p 1128-1137, November 2013. | DOI: 10.1097/PRS.0b013e3182a4c243
[3] Hillard C, Fowler JD, Barta R, Cunningham B. Silicone breast implant rupture: a review. Gland Surg. 2017 Apr;6(2):163-168. doi: 10.21037/gs.2016.09.12. PMID: 28497020; PMCID: PMC5409893.
[4] van Diest PJ, Beekman WH, Hage JJ. Pathology of silicone leakage from breast implants. J Clin Pathol. 1998 Jul;51(7):493-7. doi: 10.1136/jcp.51.7.493. PMID: 9797723; PMCID: PMC500799.
[5] Gabriel, S. E., Woods, J. E., O'Fallon, W. M., Beard, C. M., Kurland, L. T., & Melton, L. J. (1997). Complications leading to surgery after breast implantation. New England Journal of Medicine, 336(10), 677-682.
[6, 7] Cohen Tervaert, J., Mohazab, N., Redmond, D., van Eeden, C., & Osman, M. (2022). Breast implant illness: scientific evidence of its existence. Expert Review of Clinical Immunology, 18(1), 15–29. https://doi.org/10.1080/1744666X.2022.2010546
[8] Colaris MJL, Cohen Tervaert JW, Ponds RWHM, et al. Subjective cognitive functioning in silicone breast implant patients: a cohort study. Plast Reconstr Surg Glob Open. 2021 Feb 17;9(2):e3394.
[9] Meier LG, Barthel HR, Seidl C. Development of polyarthritis after insertion of silicone breast implants followed by remission after implant removal in 2 HLA-identical sisters bearing rheumatoid arthritis susceptibility genes. J Rheumatol. 1997;24(9):1838–1841.
[10] Balk EM, Earley A, Avendano EA, et al. Long-term health outcomes in women with silicone gel breast implants: a systematic review. Ann Intern Med. 2016;164(3):164–175.
[11] Pantelides, N.M., Srinivasan, J.R. Rippling Following Breast Augmentation or Reconstruction: Aetiology, Emerging Treatment Options and a Novel Classification of Severity. Aesth Plast Surg 42, 980–985 (2018). https://doi.org/10.1007/s00266-018-1117-y
[12] Hillard C, Fowler JD, Barta R, Cunningham B. Silicone breast implant rupture: a review. Gland Surg. 2017 Apr;6(2):163-168. doi: 10.21037/gs.2016.09.12. PMID: 28497020; PMCID: PMC5409893.
[13] Georgieva, M., Kammerer, S., Prantl, L., Jung, F., Stroszczynski, C., & Jung, E. M. (2020). Imaging of breast implant and implant-associated complications: capsular contracture and intra-or extracapsular rupture. Clinical Hemorheology and Microcirculation, 76(2), 221-231.
IMAGE SOURCE
[1] Hillard C, Fowler JD, Barta R, Cunningham B. Silicone breast implant rupture: a review. Gland Surg. 2017 Apr;6(2):163-168. doi: 10.21037/gs.2016.09.12. PMID: 28497020; PMCID: PMC5409893.
[2] Gabriel, S. E., Woods, J. E., O'Fallon, W. M., Beard, C. M., Kurland, L. T., & Melton, L. J. (1997). Complications leading to surgery after breast implantation. New England Journal of Medicine, 336(10), 677-682.
No reference




















